Exit Long-COVID
Eine Pressemitteilung der Deutschen Gesellschaft für Pneumologie und Beatmungsmedizin (DGP) verkündete im März 2021: "Laut RKI-Zahlen gelten 2383600 Menschen in Deutschland nach einer COVID-19-Infektion als genesen....
Migräne und Kopfschmerzen
Migräne und Kopfschmerzen plagen in den Industrieländern ca. 10-15 % der Bevölkerung und betreffen Frauen dreimal häufiger als Männer (in Deutschland 3,7 Mill. Frauen...
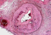
Chelat-Therapie bei Atherosklerose
Die Chelat-Therapie hat seit ihrer Entdeckung im 20. Jahrhundert einen festen Platz in der Medizin in erster Linie zur Entgiftung von Schwermetallbelastungen oder zur...
Nahrungsmittelallergie vom Typ IgE und IgG
Wenn auf den Verzehr von Nahrungsmitteln hin Beschwerden entstehen, liegt es auf der Hand eine Testung auf Nahrungsmittelallergie durchzuführen. Häufig handelt es sich dabei...
Früherkennung von Darmkrebs
Jährlich erhalten ca. 60000 Patienten, zumeist jenseits des 50. Lebensjahrs, die Diagnose Darmkrebs - bei kontinuierlicher Zunahme der Neuerkrankungsrate. Das kolorektale Karzinom gehört zu...
Burnout: Prävention und Therapie
Der Burnout im Sinne einer Stresserkrankung ist ein Kind unserer Zeit: Druck, Konkurrenz, Unsicherheit, ein erhöhtes Maß an Arbeitsbelastung und (Eigen)Verantwortung, Reizüberflutung, ständige Erreichbarkeit...
Das Prädiabetes-Problem
Seit Jahrzehnten wird in den Industrieländern eine stetige Zunahme des Diabetes mellitus Typ II beobachtet. Derzeit sind mehr als 8 % aller Deutschen wegen...
Arthrose und Knorpelregeneration
Ein Volksleiden, natürliche Alterserscheinung, Über- und Fehlbelastung, Folge von Entzündung – all dies trifft auf Arthrose und Bandscheibenschäden zu. 30 % der Erwachsenen haben...
Der chronisch entzündliche Darm
Die chronisch entzündlichen Darmerkrankungen Morbus Crohn und Colitis ulcerosa (CED) nehmen nach aktuellen Zahlen zu, betreffen nicht selten junge Patienten (20 % aller Crohn-Patienten...
ADS/ADHS und Mikronährstoffe
ADHS (Aufmerksamkeitsdefizit-Hyperaktivitätsstörung) bzw. ADS (Aufmerksamkeitsdefizitstörung ohne Hyperaktivität) ist die häufigste psychiatrische Störung im Kindes- und Jugendalter und betrifft in Deutschland ca. 5-8 % aller...













